Langley Digital x-Ray

Digital X-Ray

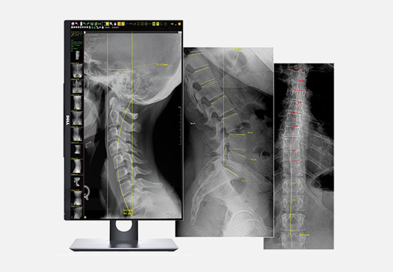
We also offer digital chiropractic x-rays that can be used to diagnose more benign spinal findings such as osteoarthritis, spondylolisthesis, and transitional vertebral segments. Our chiropractors are trained to take and interpret X-rays and are qualified primary care professionals to assess your overall health.

Flexion Distraction Table

The Flexion Distraction Table helps you gently exercise hard-to-find joints and muscles. The mechanism of the table also allows for regular, moderate-speed movement.

Cold Laser Therapy

Cold Laser Therapy is light energy or phototherapy, which uses light to penetrate the skin’s surface and underlying tissue. It provides energy to the body’s cells to increase their function as well as stimulate a faster healing process.